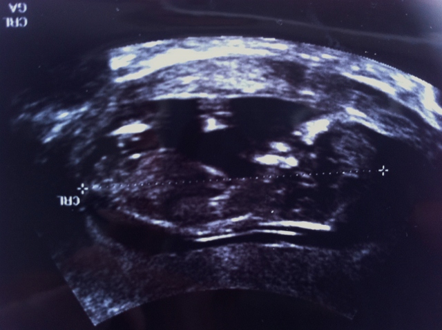
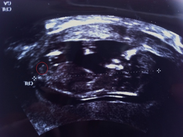
This is my US at 12 weeks + 3 days. The baby was upside down, so I had to turn the picture. I'm not sure, but I see something sticking out (very far up towards the face) where te NUB should be. Is this the NUB? Any ideas from the skull?
Thanks very much!
Attachment 4239
Attachment 4240
