6 Attachment(s)
Any transvaginal ultrasound experts on here could answer some questions for me ?
I had an early scan at 6+5 which showed twins. Now on the screen she showed me there was one big sac and one small sac. The big sac measured 28mm and the small sac 10mm. The small sac held the baby that had a heart beat but the baby was too small to measure apparently !? The large sac apparently had a baby but thats all i know they didnt tell me about a fetal pole or yolk sac or anything.
These are the pictures I got:
Attachment 7589
Attachment 7590
Attachment 7591
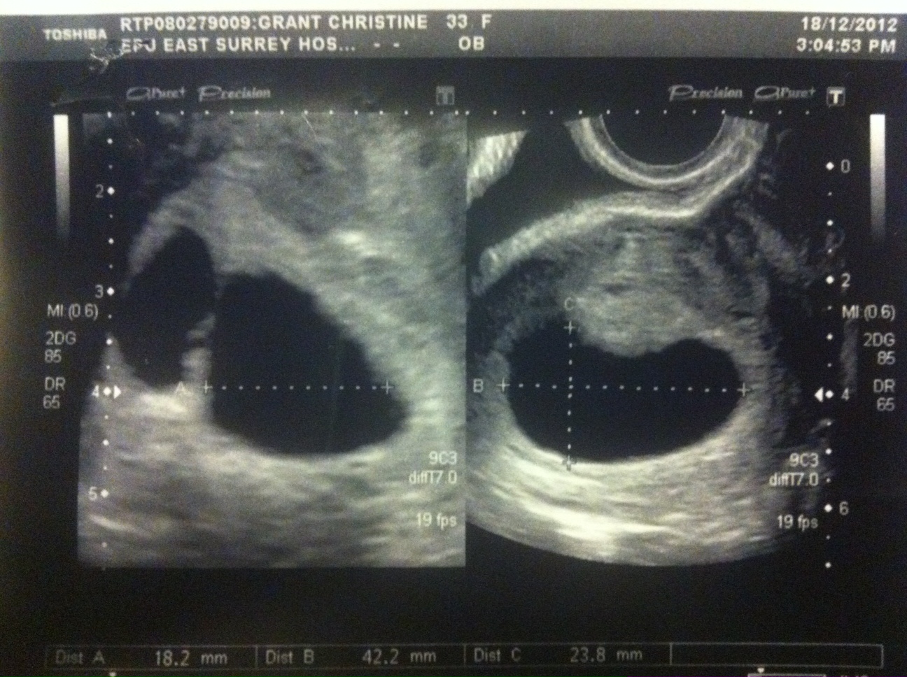
I then had a second (private) scan 6 days later and there were still 2 sacs yet this time it appeared there was a healthy baby in the big sac with yolk sac and heart beat and a CRL measurement of 13.8mm making it 7+5. The smaller sac still had an embryo and a tiny fetal pole but no heartbeat measured 3.6mm
These are the pictures I got:
Attachment 7592
Attachment 7593
Attachment 7594
Now my question is : Did the babys really swap over as it seems - did the one with the heartbeat die and the other one develop or is it likely that the one with the initial heartbeat is still the one living and the other one that had no heart beat just didnt develop ? Im so confused as they seemed to have swapped roles as the healthy baby was in the small sac to start - can sac sizes change ? all this pictures dont mean anything to me.
Im not being nieve and thinking the small one might still stand a chance as I know with such a big measurement difference there is no way the situation will chage b ut im just trying to get more of an understanding whats gone on as the EPU where I got seen are pretty useless as answering questions. They are just there for emergency bleeds etc and dont seem to have the time to spend answering questions or giving opinions.
Any advice would be greatly appreciated.
Im due back there again on Jan 4th so will see what happens then - fingers crossed all is well ... Would the other non viablebaby have dissapeard by then do u think - i would be 9+1/9+2 or is it likely to be there until nearer 12 weeks ?