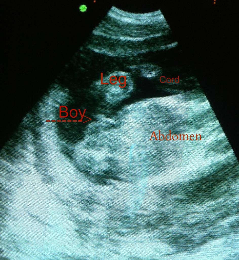
The first shot is hard to tell if that is cord or boy parts, but the second looks very boyish to me. What are your thoughts? This is 16 weeks.
Printable View
The first shot is hard to tell if that is cord or boy parts, but the second looks very boyish to me. What are your thoughts? This is 16 weeks.
Looks boy to me!
Neither seems to quite capture boy bits. Any other images or video?
No this is what I have and a skull pic. I know they aren't great images. Thanks for your input so far!
Ok I edited the one photo to try to illustrate what I am seeing. Obviously this isn't a great angle for gender determination, but I thought I would try it out.
Attachment 9925
Looks boy but not sure
I agree that the pics arent clear enough to tell either way. Sorry.
Can't quite figure out what I'm looking at here...is the top one a potty shot? I don't think you can determine gender from that second pic...
1st shot shows the cord IMO. The second doesn't show boy parts- they would be pointing straight up in a profile shot. Doesn't mean it's not a boy- these are just 50/50.
I think that's a very clear boy nub! It's angled upwards.