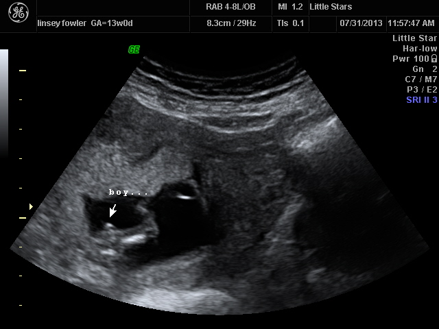
Was told 100% this was a boy. I have two little girls so we are ecstatic! Im afraid to be too excited since it is so early on! We have never found out before 20 weeks! Anyone else think this is a boy???Attachment 12823 Attachment 12824
Printable View
Was told 100% this was a boy. I have two little girls so we are ecstatic! Im afraid to be too excited since it is so early on! We have never found out before 20 weeks! Anyone else think this is a boy???Attachment 12823 Attachment 12824
I think 13 weeks is prob too early to say 100% but I guess it could be x
Def looks like a boy but I think 13 weeks is too early to be 100%.
Are these potty shots? as I cant figure out which bit im looking at sorry:oops: Do you have your profile shot for us to guess off of, hopefully babies nub will be showing:)
The first image is of the baby's legs curled to the side. She said those were his boy parts sitting in the back.
The 3d and 4d image is from looking at the top of "his" head and you can see a leg to either side with something in the middle. She said the 4d part, the head is at the center of the picture and it would be like looking through a tunnel to his boy parts where the arrow is that says boy!
I was excited that day but now Im overanalyzing and nervous!
This is the only profile shot but the way the legs are, you really cant see the area where the nub would be. Attachment 12826
Im not sure if you can zoom in or not but in the 4d image, you can see a "stick" and thats what made her say shes 100% sure. Ive come up with a million other things it could be! haha!
Attachment 12827
I thought the 4d showed a shot through the skull!! How clever is that:) I would lean boy too if the tech was confident with what she was seeing to say it, shame that nub area is cut off though! Best of luck:luck: