(nub guesses: http://genderdreaming.com/forum/ultr...ile-shots.html)
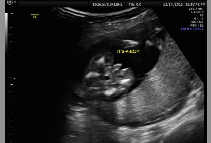
Most nub guesses were for a girl, but it's looking all boy here:Attachment 15239Attachment 15240Attachment 15241
Printable View
(nub guesses: http://genderdreaming.com/forum/ultr...ile-shots.html)
Most nub guesses were for a girl, but it's looking all boy here:Attachment 15239Attachment 15240Attachment 15241
Congrats on your little man! If you were wanting a girl I am worry you didn't get you dg. I just looked at your nub shots and I honestly probably would have said boy based on skull and nub. Even though it was flat it was still really early and had a bulb on the end.
Yeah, we were hoping girl...but I'll come around.