3 Attachment(s)
Help confirming 'girl' ultrasound??
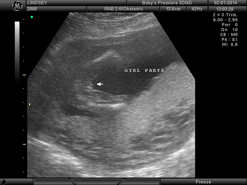
So my Dr. was making me wait a while longer to find out the gender but since I was sooo impatient we went for an elective ultrasound this weekend at 18 weeks. The tech said she was sure it's a girl (yay!!) but I'm so nervous to 100% trust it because I still can't make much sense of the ultrasound myself despite her pointing parts out. (Sorry, new at this! :worry:) It just seems so hard to tell what angle she's seeing everything at. Can anyone ease my my mind and confirm that these are in fact girl parts?? I need to buy something pink!Thanks for any help!! :) :DD: Attachment 16772Attachment 16773Attachment 16774