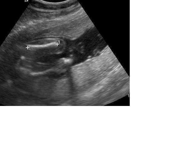
Help identify the gender!!Attachment 19783Attachment 19784Attachment 19825
Printable View
Help identify the gender!!Attachment 19783Attachment 19784Attachment 19825
Maybe girl? The legs are really close together.
looks girly
Thinking girl
I found a couple more pics...not sure if they show anything different....let me know what you think!