All guesses welcome!!!!Attachment 21067Attachment 21068Attachment 21069Attachment 21070
Printable View
All guesses welcome!!!!Attachment 21067Attachment 21068Attachment 21069Attachment 21070
boy guess
I would guess boy
Leaning pink. Congrats!
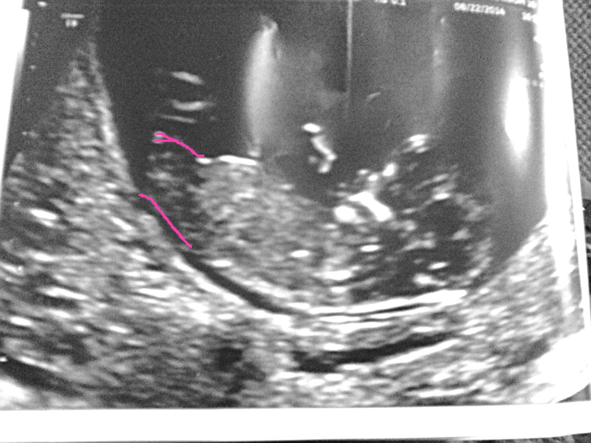
Thanks everyone! Can anyone circle the nub they see because I think I am looking at the wrong thing.
I drew on your 2 images that I see the nub in.
Attachment 21087
Attachment 21088
Girl
Sent from my iPhone using Tapatalk
Lovemy4 thank you so much!!!
Thank you Lunasa
You're welcome :)