1 Attachment(s)
Please help! Gender ultrasound guess....any experts out there?
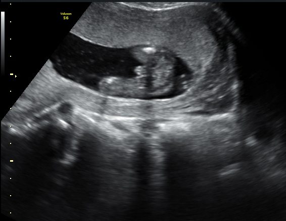
Attachment 21242
Hello ladies,
I am almost 17 weeks pregnant and my doc says she can't give me a confirmed gender guess. In my last two pregnancies, i was given confirmation from 12 weeks. Am quite slim and have clear scans usually...
I have attached two images here from my current pregnancy. The side view is from my NT scan at 11.5 weeks. If i am correct, the nub is pointing upwards which means boy. In the second image, it is a potty shot from 16.5 weeks and there is a definite protrusion. So i am unsure why she won't confirm boy at this point. I can't see it being anything else. Am i just better at seeing things than my doc? Can anyone help?
Thank you