-
1 Attachment(s)
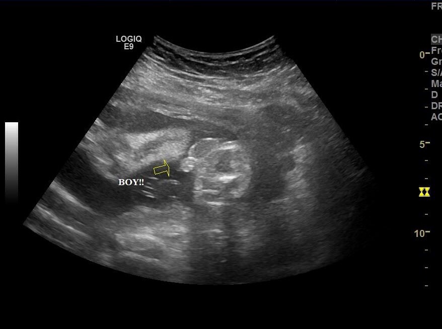
Guess?
So I had a gender appt done and they told me they are 95% sure that I'm having a boy! At this point I'm super excited since I already have an 18 month old DDAttachment 23102 and bought a lot of boy cloths. Than someone is going to ruin it for me and say they could be wrong, and made me second guess the tech. I'm just nervous because I bought so many boy cloths and things so early that I won't be able to return if it is a girl. But from the picture do you guys think there's a chance this baby is a girl?
-
Looks like twigs & berries to me! I say BOY!
-
-
-
-
-
-
-
Thanks ladies! You really put my mind at ease! For a moment I swear I was sweating bullets thinking about how I over did my shopping on boy things. I did the same with dd but I figured if they say girl than it's more likely to be a girl, and when they say boy it could be the umbilical cord instead? So this time around I was on edge about the shopping spree, but now the excitement is back again and it's more real now that I only have 9 weeks left! (Just booked my csection yesterday) Thank you gender dreaming community for the support and swaying tips =D you ladies are awesome!!!!!!
Sent from my iPhone using Tapatalk
-