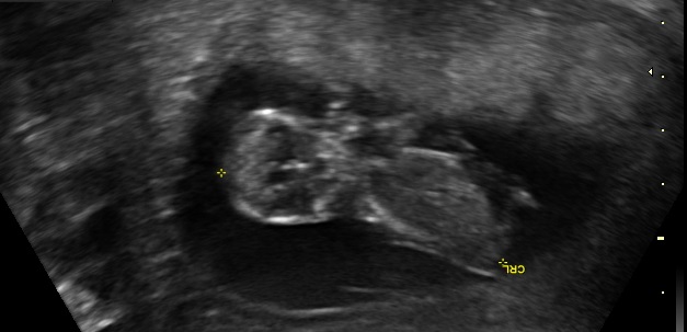
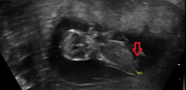
I was 11w5d when I had the scan, although I was measuring 12w1d. I know it's still pretty early, but am wondering if you see anything on these (terrible quality) scan pics! Attachment 23572Attachment 23571Attachment 23573Attachment 23574Attachment 23575
