Printable View
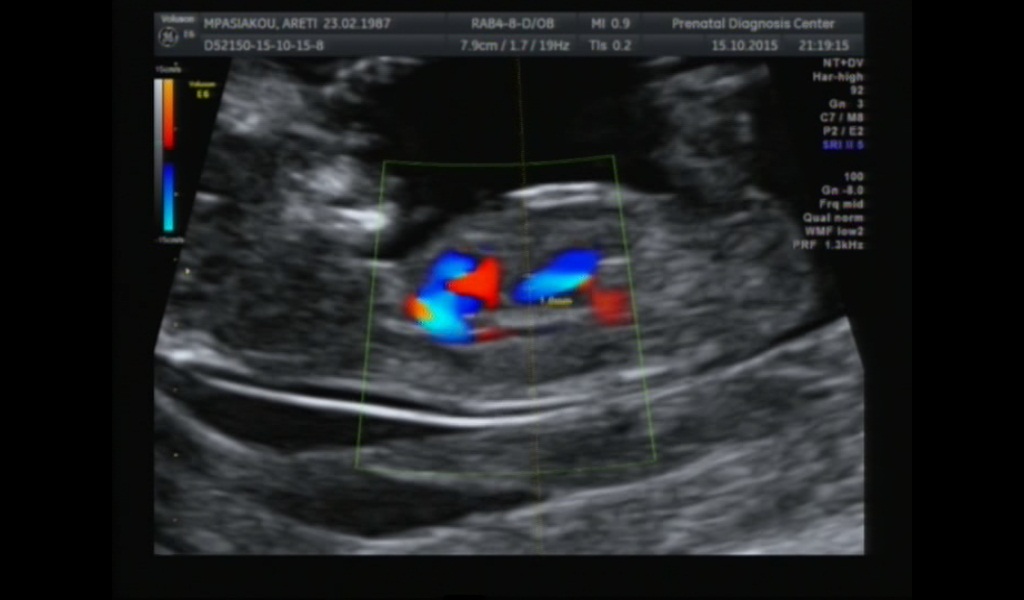
This ultrasound is on the 12th week. Can you guess?
Baby is a bit young but very cute. No gender clues sorry.
No clue
Quote: Originally Posted by Boyzmommy No clue Attachment 27857 NT