1 Attachment(s)
14 week potty shot, Confused with both pictures
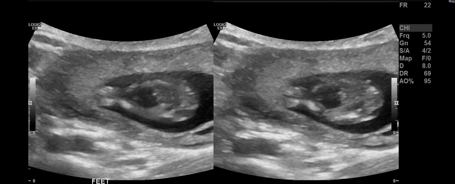
Hi all, 14 weeks and I have a potty shot of my baby .
I'm confused with the pictures , same shots but both pictures look completely different.
Most are saying girl and the tech referenced it as "she"
But after looking at the left picture that looks like a boy??
Any insight until i get another scan , I'm obsessing over this lol
Any guesses are welcome and appreciated, Skull theory seems to point boy and The little one wouldn't stay still for a nub shot , ive only got an upside down shot and i think that voids the nub theory !
Thank you Attachment 30627