1 Attachment(s)
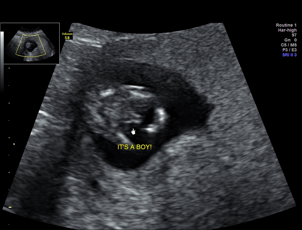
Is this definitely a boy?
Ultrasound is from exactly 13 weeks.
U/S tech said 100% boy.
No nub shot. Just potty shot.
I know genitals looks same in boy and girl at 11 weeks. But so far I have not seen any 13 week potty shots that look like mine and ended up being a girl.
I also heard they are more likely to Guess right with boy guesses than girl guesses at 13 weeks.
I won't say what I'm hoping for because I don't want people to tell me what they think I want to hear. I just want the truth. Is this a boy?
If there's a chance it's not, I would love to see a similar 13 week potty shot that ended up being a girl. Because I have not been able to find one anywhere.
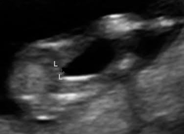
Attachment 35033