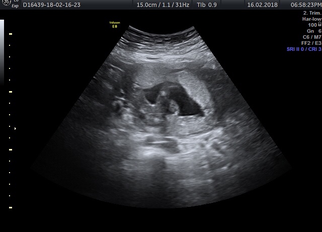
I was told girl again (after being told at 16w) saw lines in the scan but on the pics I was given there are no magic 3 lines 🙄 would you be happy to say girl or wait and try again on another scan?!Attachment 38836Attachment 38837Attachment 38838
Printable View
I was told girl again (after being told at 16w) saw lines in the scan but on the pics I was given there are no magic 3 lines 🙄 would you be happy to say girl or wait and try again on another scan?!Attachment 38836Attachment 38837Attachment 38838
That's a girl!
I've seen many boys in my day and that is definitely a girl
Sent from my SM-G950U using Tapatalk
Thank you both, I really appreciate your posts!
totally girl!!
A girl! Congratulations!
That looks like a girl to me!
I have been told girl at 3 separate scans now and I still can't believe it!!!
I understand your anxiety [emoji85][emoji85]
Sent from my iPhone using Tapatalk