Attachment 39447
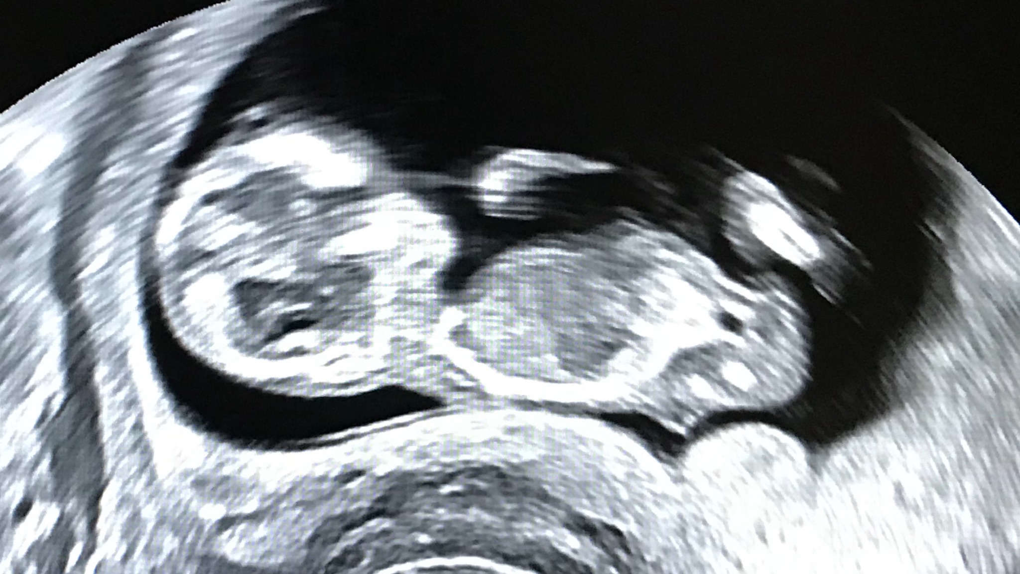
I‘m not sure if I See a nub. Picture from NT Scan at 12+3.
And help is greatly appreciated!!!!
Thanks!!!!
Printable View
Attachment 39447
I‘m not sure if I See a nub. Picture from NT Scan at 12+3.
And help is greatly appreciated!!!!
Thanks!!!!
I can’t see a nub there sorry - but I’m not very good at this!!
It's not a great shot (looks like baby was moving) and it's too early for me to guess, but I'll give the world's most tentative pink lean because I do see something pointing at a downward angle. It may be the picture itself and it may be that the nub has not yet risen so please put no stock into that at all.
Beautiful baby!
Yes, Baby moved a lot. I think a saw something pointing downwards while Baby was measured, but I‘m not certain at all. I won‘t get my hope up yet and will assume that it‘s another Sweet Little Boy.
Basically just happy that the Baby is healthy.
Thanks so much for your reply, Atomic, really appreciate it!!!!
The thing is, at 12+3 the nub in boys hasn't always risen yet so it can be possible for a baby to have a downward nub but still be a boy because that will change in a week's time. :agree: with not getting hopes up! FXFXFX!