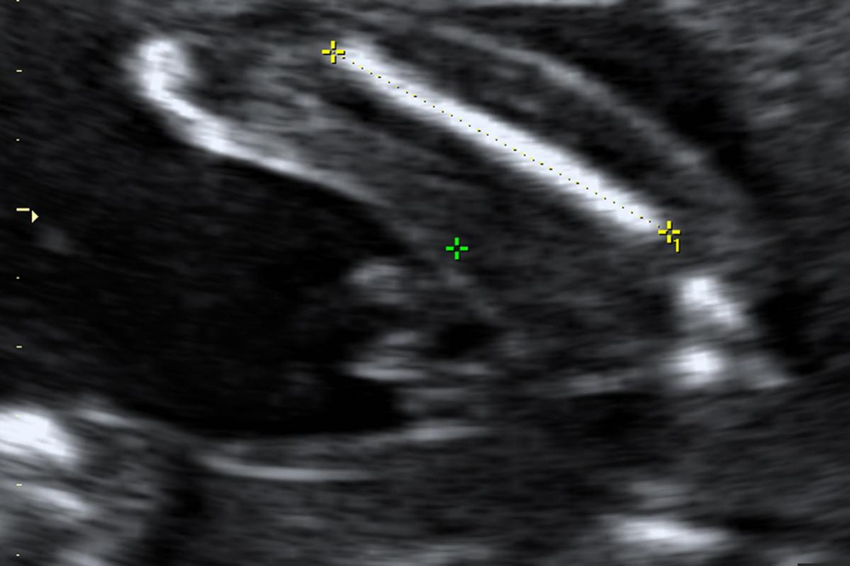
The marking on the image is of the thigh bone.Attachment 804
Printable View
The marking on the image is of the thigh bone.Attachment 804
boy :)
Looks like :DS: to me:)
My guess would be boy :) Congrats!!
Boy!
I'm not sure.
Could it be swollen girl parts?
It's a little...different...than normal boy ultrasounds. I'd lean boy due to the absence of girl parts + the presence of what looks to be boy parts.
i guess boy
Boy
I say boy... my boys parts looked like that. My u/s tech called it the turtles back.