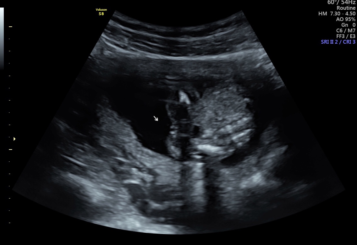
We had our 16 week ultrasound a few weeks ago and I keep worrying that the sonographer might have got it wrong. We got lots of pictures. Some look girly and others I’m not so sure. What do you all think? Attachment 39988
Printable View
We had our 16 week ultrasound a few weeks ago and I keep worrying that the sonographer might have got it wrong. We got lots of pictures. Some look girly and others I’m not so sure. What do you all think? Attachment 39988
Yes looks like a girl. Congrats!
Girl!