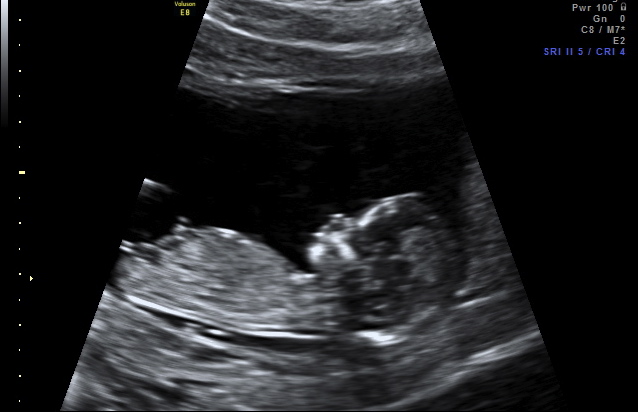
Hi everyone, could you take a guess from this nub shot? It was taken at 12 w 4 d officially, but the baby measured in at 13 w 1 d.
Thank you! :flowerz:Attachment 908Attachment 909
Printable View
Hi everyone, could you take a guess from this nub shot? It was taken at 12 w 4 d officially, but the baby measured in at 13 w 1 d.
Thank you! :flowerz:Attachment 908Attachment 909
:XX:
Girl!
Girl!
Girl!!!
Girl. Love your name!
Thank you ladies!
girl
Girl
Girl