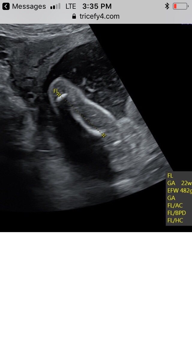
At my 21 week scan, we did not find out the gender, but I kind of want to guess based on the shots I got. Tell me what you think based on this pic when the tech measured the thigh...Attachment 41162
Sent from my iPhone using Tapatalk
Printable View
At my 21 week scan, we did not find out the gender, but I kind of want to guess based on the shots I got. Tell me what you think based on this pic when the tech measured the thigh...Attachment 41162
Sent from my iPhone using Tapatalk
im not the best at tricky pics but if im looking at this right then id lean towards girl.. im looking at it as the thigh on the left being measured then what i think is baby's other thigh cut off on the right of the pic so im looking between those 2 things.. i could be looking in completely the wrong place though!!
It looks girly to me - but the techs see way more than us in the scans.