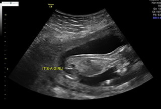
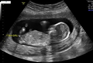
Hi! I had an elective ultrasound at 14 weeks and the tech was confident it is a girl based on both nub and potty shot. I swayed for a girl so praying she is right!! What do you think? P.s. sorry if these pictures are uploaded weird or doubles.. never done pictures before lol Attachment 42861Attachment 42862Attachment 42863Attachment 42862Attachment 42863Attachment 42864
