Hello, would anyone be keen to guess the genders of these 2? No good pics of baby B but baby A seems to have a clear nub. Thanks so much!
Attachment 43439
Attachment 43440
Attachment 43441
Printable View
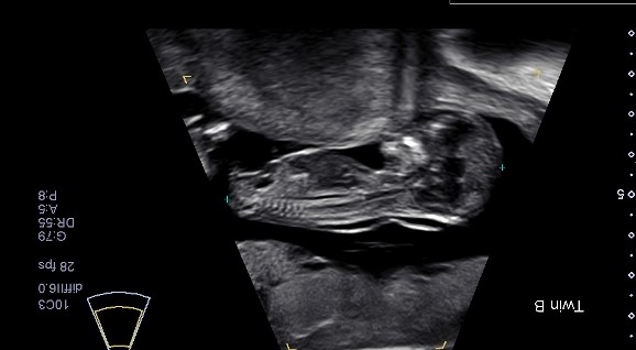
Hello, would anyone be keen to guess the genders of these 2? No good pics of baby B but baby A seems to have a clear nub. Thanks so much!
Attachment 43439
Attachment 43440
Attachment 43441
Bump? :)
Nobody fancies a guess?
Girl
Sent from my SM-N986U using Tapatalk
I am not expert but I can say the first one looks similar to my DD’s nub.. So with that I am Guessing Girl.. I cant say with other pics.
Sent from my iPhone using Tapatalk
It was our national holiday so I was offline a couple days there. Thanks for your patience!
Girl, but that's still a bit early, nubs can potentially rise (tho it's looking quite girly)
Thank you so much for the guesses. Atomic Sagebrush, it's so kind of you to get back to every single person on here.
I submitted these to Nub Techs and Nubologists and both said girl but I'm a little worried there's a slight rise in the nub of Baby A, though it looks a lot different to my son's nub at this stage which had stacking. I have 3 boys so twin girls would be absolutely incredible... but we will see! I'll be sure to update x
Like I said, it's early still, but I will be extremely surprised if these darling babes are boys. Don't paint the nursery, don't shop, but Baby A in particularly looks very girly to me. I have seen a few occasions where nubs did rise even as late as the end of the 13th week but I would be feeling good about this right now.
Hi,
Today I had an early gender scan (14+4) and apparently they are still looking girly! I do think Baby B's potty shot looks like a willy haha but apparently the lady has a very high success rate. She checked via nub and potty!
Attachment 43455
Attachment 43456
Attachment 43457
Attachment 43458
I wouldn't hazard a guess on most of these (potty shots are not reliable at this stage) but I will say that unless Baby B was actually upside down when the photo was taken that does look girly. The techs see far more than we do during the scan so if they're telling you girls, I would be very optimistic right about now!