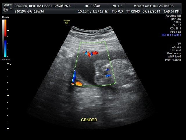
I went to another forum people keep saying maybe a boy I am very stress I need more opinions please !!! I was told a girl but now I can't be sure :(
Attachment 13882
Printable View
I went to another forum people keep saying maybe a boy I am very stress I need more opinions please !!! I was told a girl but now I can't be sure :(
Attachment 13882
Looks NOTHING like my boys. That's a girl!! Congrats!
I'm no expert but even to me that ohoto screams girl! X
Looks like a girl to me! Congrats x
GIRL! Lucky thing!!
Looks girly to me :) Congratulations xx
All girl! x
Definitely a girl!! Congrats!!
Thank you :heart:
It's a tricky angle but sure looks girly to me. Congrats!