Hi guys
Well this little one has a very boy-ish head but I'm not sure what to make of the nub, if that's vene a nub captured in the images. Any guesses would be much appreciated.
Cheers!
Attachment 14987Attachment 14988Attachment 14989
Printable View
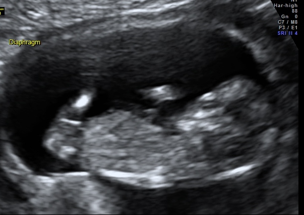
Hi guys
Well this little one has a very boy-ish head but I'm not sure what to make of the nub, if that's vene a nub captured in the images. Any guesses would be much appreciated.
Cheers!
Attachment 14987Attachment 14988Attachment 14989
I am gonna lean blue. The angle is not very much when you follow the spine curve, but it's got a bobble on the end that makes me think it might be rising. But it's a close call for me.
Boy
Baby looks slightly turned away so I wouldn't be surprised either way. My first thought was pink, though.
Pic 1 makes me think boy but Pic 2 looks pretty girly so I am saying 60/40 girl lean.
Thank you! Yes that's why I am so confused too. The two pics look quite different don't they. I wonder if perhaps something has been picked up in the first pic behind the nub, like part of the leg or perhaps?
I agree with the 60/40 girl lean.
Would anyone else care to take a guess? :)
In the second pic I think the nub looks girly, so I would lean pink. I wouldn't focus too much on skull shape because the head is a bit distorted in these images and also looks like head is turned sideways.
Any last minute guesses? 16 week gender scan tomorrow :)