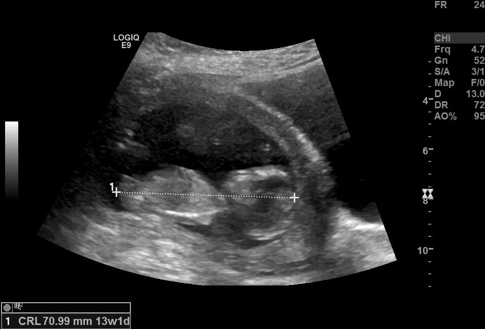
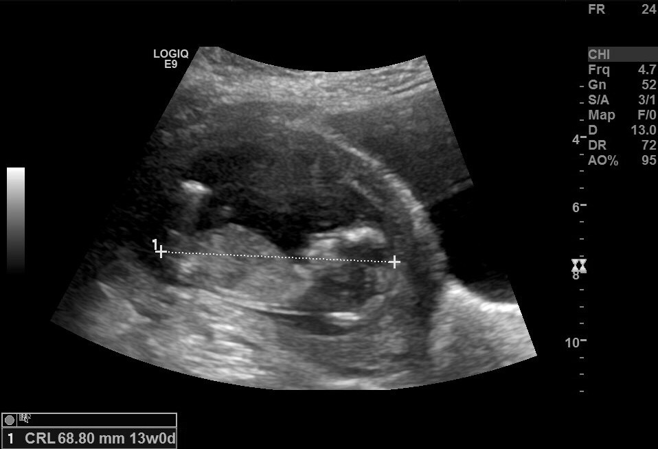
Hey everyone.. I had a scan yesterday at exactly 13 weeks & I think I got some good pictures but I just can't tell if there is any significant angle so I'd love your help :)
Attachment 27621Attachment 27620
Printable View
Hey everyone.. I had a scan yesterday at exactly 13 weeks & I think I got some good pictures but I just can't tell if there is any significant angle so I'd love your help :)
Attachment 27621Attachment 27620
Girly!
I also have a potty shot but I know they are very unreliable at this stage..
Attachment 27622
girl from me :)
Girl here too :)
Thank you for looking everyone :) We were kind of hoping for a boy as we have 2 girls already but we'll be happy as long as he/she is healthy :)
I'm not 100% sure of my girly guess, I think there is still a small chance of a boy, so FX for you!
I'm on the fence with this one. The nub in the pics you have may be on the rise. It's hard to tell from the angle. On the other hand, the potty shot didn't reveal anything either. At 13 weeks you can start to see boy parts clearly- I saw a clear sac and penis at 13w5d.
50/50 from me!!
DS1[emoji125]🏼, DS2[emoji577], DS3[emoji170][emoji577][emoji843][emoji602][emoji170] Jan. '16 I'll sway for a DD[emoji166][emoji171][emoji166] for my DH!!
I adjusted the pic a bit so that the babies back is flatter & there is a rise but it's definitely not more than 30 degrees. Probably about 20 degrees. I'm also unsure how accurate the potty shot is because I didn't ask the sonographer to take a pic, that's just the one she took of the legs :)
Attachment 27644
My 2 boys potty shots and 11 and 12 weeks clearly seen the boy parts. That's a girl!