HI everyone just wondering what is everyone thoughts about our new bubba, we have a 2 year old daughter. Thanks
Printable View
HI everyone just wondering what is everyone thoughts about our new bubba, we have a 2 year old daughter. Thanks
TOTAL...BOY!
Nub...is...tilted/pointed...upwards!!!
BOY!
I would say boy...good luck :)
:DS:!!!!
Did...little...crosses....indicate....ow...te...ir l..nub...would...be....as...far...as..ow..it..woul d..point!?
looks...tat...way..to..me.
Boy
WOW Great BOY shot! Certainly a boy you have there. Congrats!
Yes, both pictures sweetie.
Did you try posting on www.ingender.com for their opinions?
My nub was a straight line.. Not tilted at all. I believe you have your son! :diaper:
Thanks for such a quick reply ! I did, mostly boy guesses, but a tech said girl so now im confused, and wanted to try this site aswell. I think the tech said girl because of the second photo because of the fork in the nub and also because the end of the spine isnt visble. I think that it could go either way because the nub isnt 30 degrees but then its not pointing down either. My DD's nub was pointing really far down so it was obvious, but this one is driving me mad lol 5 more days till we find out!!! WOO HOO!
cracker, this is what I was thinking? Also baby is quite curled and I'm seeing the nub quite in line with it if i straighten baby out. But! The nub does look quite fat so thinking boy and it doesn't seem to be completely attached to the body so leaning boy on that one also. I would have to say 65/35 boy on your nub but will be waiting anxiously on your result, hope you hear blue: What is the gestation??
Also, any other pics??
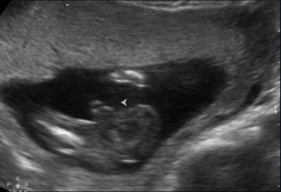
another 13 week 3 day
This is of this bub at 11 weeks 6 daysAttachment 4502
If you were 13 weeks in your 1st pics then I'll have to switch my guess to 70/30 girl I'm afraid. But I hope I'm wrong:) Best of luck!!! Xxx
Thanks ELP, I believe its a girl too! but I can still dream until my next u/s lol
I think the nub is tilted like a boy but shaped like a girl. I would say boy though. GL x
Thanks for the guess 4 more days until we find out!
Boy!!!
oh Boy! boy ! boy!
2 more days guys! Any last guesses?
Mine is also slightly tilted and forked, from 13w, and most people have guessed girl, so I am not sure on yours.
Stalking...when's the u/s?
In less than 48 hours!
I would guess boy too. Wishing you the very best for your scan. I'm looking forward to your update x
Angle boy, fork girl 50/50 for me, goodluck though hope you hear boy :)
Boy
Thanks for all your comments!15 hours till the BIG scan
Thanks so much for all your guesses! Over the moon, with the news of having a little boy!
Congratulations!!
Aww thats fantastic news congrats on your little boy :) xx
boy