5 Attachment(s)
UPDATE!!!!!16 weeks new pics! girl!? please take a look!
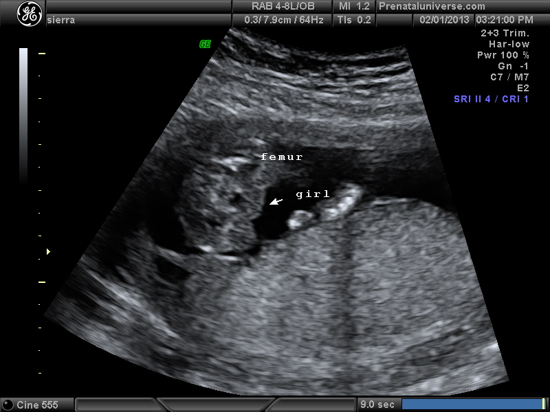
UPDATE!!!! Tech says girl. I was 16 w 1 day. Everyone agree? Nub shots were no help. Hoping this potty shot is more clear. In the video there were times it looked like there was something between legs but every still shot looks Girly I think:) Ty everyone :)
I'm curious about the area behind the black spot. I believe he said black spot is babys bladder. the area the arrow is pointing to looks girly but the area behind the black spot looks different??? thanks all
Attachment 8601Attachment 8602