Attachment 12020Attachment 12021
Slight boy lean x
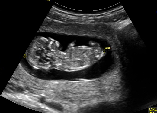
Thank you for responding. I think top looks boy but the second pick has 3 lines which makes me think girl. Confusing. Again, thank you for your guess.
3 lines doesn't say anything on a side shot at 12 weeks. You need a potty shot at 15/16 weeks. Top one got me leaning boy but absolutely not sure!!
Could go either way tbh but congratulations :) xx
Thanks ladies. Would love a girl as have 3 young boys already. This is final babe for us, so it would be fun to get a little girl. However, I think all we do is boys:) Either way I am excited to meet the big surprise. I appreciate all your comments. It is fun to guess.
I'm leaning boy. I hope you get the girl you want x x x
Fingers crossed for a girl x
i think its probably a boy especially at 12 weeks gestation BUT nubs are never 100%, i hope you get what you want
I would lean boy. But it's hard to say for sure.
Thats what I thought, although some symptoms are different.
Thanks ladies for your responses. I will update when I have my ultrasound in 4 weeks. Really appreciate everyone taking time to look. xx
Boy. Congrats on #4!
Urg! Well, looks like more clorex wipes by the toilet in my future:)
That does look pretty boyish, I wish I could say girl! But we've seen plenty of opposites from nub guesses on here recently so dont give up hope until the anatomy scan. I hope we are all wrong!
I am leaning boy as well. A sweet little mamas boy :)
hey hun, Im going boy with this one too, I hope im wrong though xxx
Yes I too would lean boy....Goodluck at your next scan :) x
Leaning boy but wouldnt be suprised either way:)
50/50 from me
Thanks ladies for giving my a little hope. I really dislike feeling like I might be devastated when they tell me boy as I know how amazing my 3 are. I just always saw myself raising a girl too. Husband just got fixed so I know this is my last shot. Really hope that nub turns out to be a girl but it is hard to think that when it is pretty boyish. Thanks again for all your kind words and for taking your time to respond honestly.
Someone wrote on another forum that they were chosen to raise boys because of how good a job they were doing - you are obviously raising such fantastic sons that you were given another to provide the world with positive and respectable gentlemen! :) I know it's tough to think of never buying pink - I totally get that but whose to say your relationships with your sons are any less fulfilling than what you would have with a daughter. Hugs xx
Ahhh, thanks for some perspective. That was very sweet! I definitely think that I am a total boy mom and love my boys. I know I will love this little one too regardless of gender. Thanks, again!!!
You're welcome and sorry that made it sound like its definitely confirmed you are having a boy - I think there's still room for doubt isn't there? Good luck either way :) xx
No worries. I really do appreciate others support and input. There is some GD that goes along with having multiple of 1 gender, but I think we also know that a healthy baby is all that is important. It is nice to kind of prepare myself with the high possibility that they tell me boy. I will be shocked if that is not the case...and of course thrilled:) Thanks again for your kind words of wisdom!!
It's the blob on the top that makes it look boy BUT there is so much going on the blob area that I would not be surprised if it turned out a girl.
Seems to me that whilst nub guessing is fun for it to be as accurate as it is claimed to have been you need the perfect shot. We must not forget that study's to determine the sex at this gestation with have been very precise in getting the image required!! I doubt many of us get that 'perfect' image...
If you haven't already please can you guess mine!? Thank you! :-)
Agree with Tree re the studies. ^^^
I totally know that this is not 100%. I just think it is good to kind of prepare myself as my symptoms lead me to believe girl for first trimester. The ultrasound allowed me to see that girl might not be in the cards as I was convinced it was. Less than 4 weeks till I find out. :) Thanks again ladies!!
Tree, I definitely think girlie for you. Cross my fingers you get your baby girl.
Slight boy lean for me
Thanks, Dloui!
Ultrasound tomorrow. Very anxious! Any more guesses? Will update soon.
I lean boy
Fingers crossed for you today.
Boy
stalking x
It's a boy!! Thanks for all your guesses and kind words. Now I am mama of 4 boys.
Attachment 12542 Was praying for a girl but got another beautiful boy.
congratulations!
Congratulations!!