5 Attachment(s)
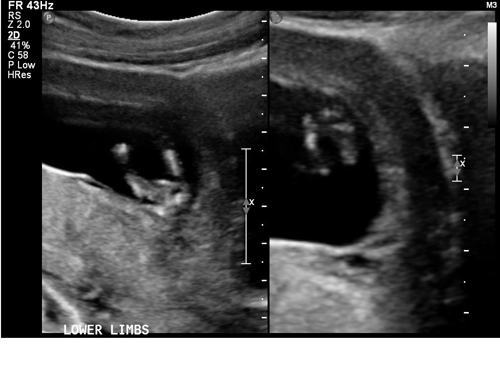
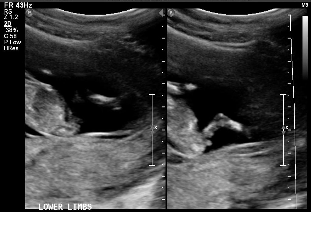
Is it a boy or a girl? 12w1d - measured 13 w
Hi, this is my first post!!
I had my 12w1d ultrasound today, but baby measured ahead at 13 weeks. Bub was very uncooperative and made it hard for the technician to get the NT measurements, which was good in a way because I got to see lots of bub! We got heaps of pictures and I will upload a few here.
I *think* I can tell the gender by the nub pictures but I'd love lots of guesses!!
What do you all think?
Attachment 17788
Attachment 17789
Attachment 17790
Attachment 17788
Attachment 17791
Attachment 17792