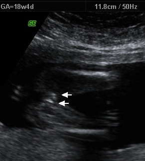
Taken at somewhere between 18 weeks and 19 weeks.
Attachment 20204
Printable View
Taken at somewhere between 18 weeks and 19 weeks.
Attachment 20204
Looks girly to me, congrats!
Girl
Thanks to both of you! I guess I was doubting it because the middle line is longer, so I thought maybe it's a little penis? Plus, my husband is freaking me out by telling me the horror story of a friend who was told girl and ended up having a boy at birth, lol.
I'm so excited to start buying tons of pink, but looking at it just made me thing *maybe* it's a penis that I'm seeing.
Girl!
Do you have a boy or boys already?
Girl
Girl
Thanks, everyone! Hubby still isn't convinced because of the lower heart rate and (141-145 even though baby was super active) and because the white line in the middle is longer.
This is our first, but I just always assumed I would have a boy. In so excited to start buying pink, but I'm afraid she will turn into a boy after! Are you all 100% sure? What would cause the line in the middle to be longer?
Thanks again for all of your help. I truly appreciate it!
Defo girl no scrotum seen ! The part you see in the middle is just swollen clitoris which is normal x
Heart rate means nothing. It's an old wives tale. That's definitely a girl. My husband desperately wanted a boy with our first child and he tried to analyze the ultrasound picture to make it look like a boy also LOL! She was an absolute GIRL followed by 2 more girls!!!
That's definitely a girl!!! Ive seen enough willy shots to know the difference lol. Enjoy shopping pink!!!
Definitely a girl! Congrats! Xx