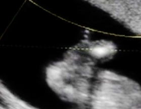
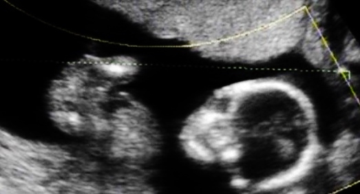
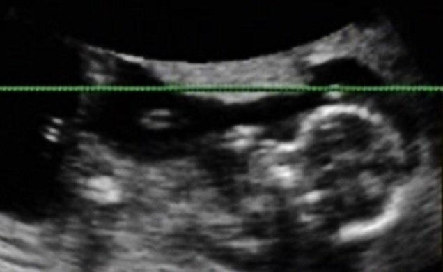
Attachment 23312
Is this boy or cord??? Looks weird, my son looked differentt
Thank you for your comments:curtsey:i
Printable View
Attachment 23312
Is this boy or cord??? Looks weird, my son looked differentt
Thank you for your comments:curtsey:i
Looks boyish. I think there is way too much going on down there to be a girl at 18 weeks. So I vote boy.
Thank you very much!!!! I hope so but it looks so strange
Agreed! I think that's probably a boy. Nub looks very boyish also.
thank you:pregnant:
Boy
Thank you, how sure are you, it's not a clear shot or????
oh yeah thats a boy!
Both shots look very boyish to me.
Boy congrats
I think we are seeing the cord as well. But I'm pretty sure there is scrotum in that pic. And the side shot is very, very boy. I'd be pretty confident in a boy guess.
Thank you so much yeah the scrotum seems there to be, my daughter looked different, my son similar but different also, thanks for guesses I am happy so many guesses , ladies thanks soooo much
Looks boy to me too, congrats!
Looks like boy to me too
Sent from my iPhone using Tapatalk
boy!
Definitely boy
:bowdown: Thankkkk you sooo much
They definitely look boyish to me.
Boy!
Boy
Omg had normal control ultrasound with my gyn and he thinks its a girl, showed me 3 dots and told girls look like this I am really shocked I prayed for my son I dreamed about him and even the only potty view looked boyish from last scan .... What should I believe... I am happy with a girl but its so strange
I have no pic from last ultrasound, gyn only looked for 3 seconds, it was not potty view, it was like looking from behind, from Babys back... There he saw 3 dots triangle and immediatly said girls look like this.... I know my son had 3 dots but not with 20 weeks, with 14 weeks..... I don't know if girls are still swollen at 20 weeks and don't know what my first pic shows it was the only moment I saw potty view and its from 17 weeks.... Can someone tell me what this is in my first pic if not boy parts?
I would not take that type of "ultrasound" at all seriously. I have seen the OBGYN get gender wrong A LOT and the cursory views are never best.
Ooo my told again from same ob gyn girl, he looked from underneath , potty shit would say, and there was nothing only a bulge but he said that's labia little swollen, looked like half of a ball with a white dot in the middle.... He was not sure but said to expect girl..... Maybe my previous potty shots showed cord???? But for me it looked like scrotum in my pics here posted, and yesterday the bulge looked much smaller! But my first son had big scrotum, very easy to see.
Is there any way you can get in for a scan from a tech???
o yes, i have to call the place where i went first time for 3d, its also a gyn, but an older experienced one also working there, will grt the appointment in 3 weeks, if they have time earlier then maybe next or this weeks... i am not shocked, but want to srart preparing stuff and its so boring to wait and wait and wait ..... thank you atomic sagebrush !
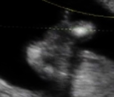
I know what 3 dots he is talking about and thats almost always boy, except for a wrong imaging angle. Here is a 3 dot example. Attachment 23763
yeah nahri thanks, it looked very very similar but i cannot remember exactly, he is a gyn, i dont know if techs are here existing? and for sure only looked 5 seconds, most gyns here are never interested if they are wrong or not.....its frustrating.......but maybe it was really cord, or the baby is hiding its bits very well *lol* i am ready for both, boy or girl, buzt want to know , time is passing so quickly and i have nothing prepared :nails:
Attachment 23764
dont know if there are any clues in this pic i tried to make the contrast better , but i am terrible at gender guessing
Attachment 23765
and this pic is not from actual scan its from week 16/17....it was a pic of whole baby, but i cropped it only to see the place where could be....it looked similar to actual scan a little bulg with dot in middle and even 1 line between for some seconds as i remember when hhe measured the bone od leg....there i thought for myself ooo my thats not boy , its toooo small ...and then gyn said do you know what it is? i said, it looks girl ???? and he saif yes and moved on with measuring baby, dont looking again or from profile,i was little bit disappointed not to have told him to look better or for a second time but now waiting for my next 3d scan, will update for sure with video !
Yes that looks girly! Congrats!
agree, looks girl to me too but obv. not the best pic
but what if its a boy with a small pee ?? i have some pics fromm old scans and they made me lean more boy but then others are really girly...o am soooooooooooo confusedAttachment 23783Attachment 23784Attachment 23785Attachment 23786Attachment 23787Attachment 23788Attachment 23789Attachment 23790
any clues here?
Attachment 23887
Any more guesses on all my pics I am so excited to know
:bowdown:please more guesses
Crazy how boyish that nub is..
new pics from 27 week scan ( as DH dont wants to find out gender doc didnt tell us, he tried to hide it while measuring the leg bone very qucikly, i got these shots, any clues????????????????????? my eyes cannot decide if girl or really boy?Attachment 24333Attachment 24334Attachment 24335Attachment 24336Attachment 24337Attachment 24338Attachment 24339Attachment 24340Attachment 24341Attachment 24342
I'm going to say girl based on your new pics!
Please , more guesses?