We have 3 girls and have a feeling this is probably another little princess. 😁 :DD:Thank you for your guesses!
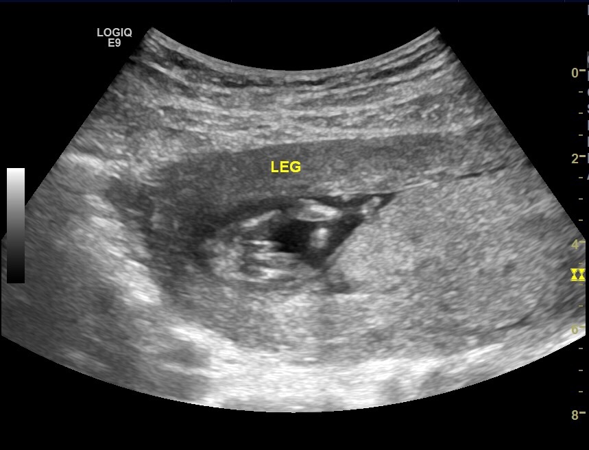
Attachment 26169
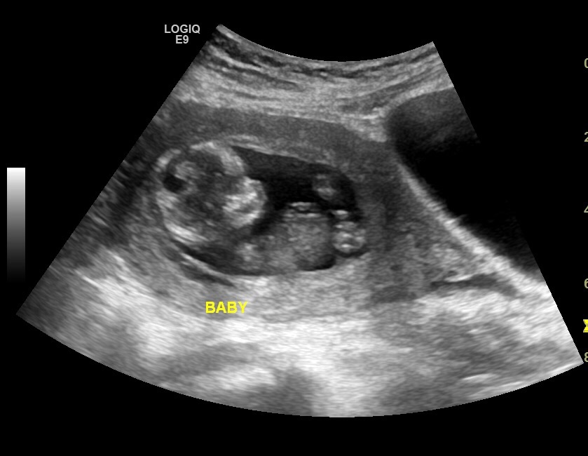
Attachment 26170
Printable View
We have 3 girls and have a feeling this is probably another little princess. 😁 :DD:Thank you for your guesses!
Attachment 26169
Attachment 26170
It's a bit blurry but kind of looks boyish to me!
Sent from my iPhone using Tapatalk
Oh, really!!? That does give me hope that maybe there is still hope for a boy! Thank you! I would be blessed and happy either way, but it would be so awesome to mix things up a bit.
I know how you feel! I have two boys myself and I'm dreaming pink. Sending some blue dust your way!!
Sent from my iPhone using Tapatalk
Aw! Thank you! Well sending pink dust back your way. Girls are so much fun! I've been dreaming about a little boy but I have thought every pregnancy that it was a boy and was wrong lol!
Lol. I was like that with my second pregnancy, I convinced myself it was a girl. I think deep down I knew it wasn't and I just really wanted one so I figured if I thought it was it would be. Or something like that. Lol. I haven't tried swaying yet so hopefully swaying will do it for me! Did you sway for this one?
Sent from my iPhone using Tapatalk
Yes, that's what I think I have done too, except with my first. I had really strong intuition that she was a girl and really wanted her to be. We have not tried gender swaying but probably will the next time around! Yes, even if this is a boy, we want more! Love big families. :)
That top picture looks all boy to me...
Sent from my SCH-I545 using Tapatalk
could be a little bit of blue coming your way, fingers crossed :) xx
Thinking boy, too! How far along was the scan taken at?
Eek! Maybe! It was taken yesterday at 12 weeks 4 days. :)
Could you post a bigger version of your top pic? I find it hard to see, it's so small :) Looks like maybe a boy potty.
Yay! Scan was at 12 weeks, 4 days!
Looks boyish.
I'm new at this but my first thought was boy.
BOY
Sent from my GT-I9305T using Tapatalk
I would guess boy too :) good luck keep us updated !!
Looks pretty boyish to me!!!
All boy!