Had an elective scan today..
Printable View
Had an elective scan today..
I can't see a clear nub in that pic, but would guess girl if I had to!
Attachment 1041
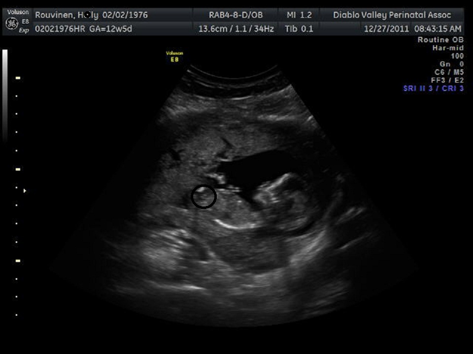
I circled what I think is the nub. Maybe that helps?
I can't see clearly either but the skull shape looks like my girl so I guess girl.
I'd say skull looks boy and nub could go either way.
Maybe girl x
I thought the skull looks boy and there is a lot going in the nub area. Cannot tell with much certainty.
Added another shot just of the skull...what do you think?
Attachment 1043
50/50 for me....hope you get your Dg!
Thank you for all your responses! We are hoping for a boy.
Would anyone else like to take a guess?
Nub looks like a fork, fork can go either way. Scull looks boyish.
I can't tell from that pic. Sorry
bump..
Nub is circled in bottom/first picture..thanks!
I think we can see the nub further to the left than what you circled, its way too busy though for guessing so 50/50 based on this shot. Please have all my blue dust ;)
Thanks for your reply nini! I guess I'm going to have to be patient and just wait til Feb. for my anatomy scan.. I asked the tech to take a guess and she said they all look the same at this stage. :/ BTW were you posting on ingender? I can't seem to get on that site anymore. Is it coming to and end?
yeah, I have given up... some people were still able to post, I wasnt... I could see all posts and click on all links, just could not post anymore. Its such a shame, all the information lost.
50/50 on this one
Thanks for looking Xyxyx..:happy:
all girl!
Congrats :)
Congratulations xx
Aww congrats! A little girl is wonderful. Sorry that it isn't your desired gender though xoxo
congratulations on your :DD:
Congrats!!