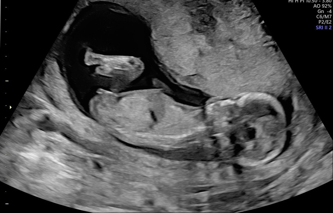
Hi! Potty shot taken at 14 + 0 days. Think it was more like 13 weeks & 5 days. What do you think, girl or boy?
Attachment 43721
Printable View
Hi! Potty shot taken at 14 + 0 days. Think it was more like 13 weeks & 5 days. What do you think, girl or boy?
Attachment 43721
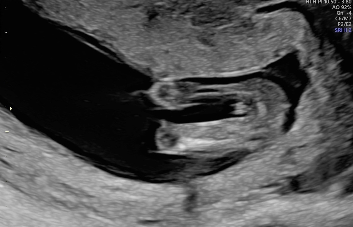
Do you have a side shot?? I prefer not to guess on potty shots at this gestation.
Here is a side shot! Also 13w+5d or 14+0 weeks.
Attachment 43722
What do you think??
My gut (on both!) pictures is girl, did the tech have an opinion??
I'd definitely lean girl - especially with the nub being that direction on the second pic! ;)
I'd say girl. The nub especially looks very girly.
Ahhh the tech said also girl… but it’s early right? 14 weeks (13+6d)
I can’t believe it is true…:XX:! do you think there is still time to change?
Ahhh, see the techs see far more than we see and if they're saying girl, then I'd be very happy to hear that. :cheer: :cheer: :cheer: It' s not a guarantee but it's very very very encouraging to hear that.
The end of the 13th week is NOT too early. not at all. 10/11/ and the start of the 12th week are too early. End of the 13th week is getting pretty sure!
I have, over the years, seen 3 times where a baby I was sure was a girl at the end of the 13th week, the nub rose and it was a boy. But in those cases the tech did not have an opinion - the tech's opinion is the most important becuase they have a long time to look and can see from every angle.
We can't say 100% at this point, but if the tech thought girl, Anna, I would be very very very happy (and I am very very very happy for you!)
Thank you so much!:heart: I am slowly getting used to the idea :cheer:I will update at 16 weeks!
Did you get a girl? Would be happy to have an update.
I read through your thread. Did you get your girl? Keep us posted!
She had a girl!