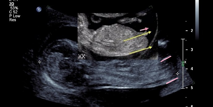
Ok so im still obsessing of my nub pic , so i drew lines to show the nubs angle with spine , im not sure if this is right but if the lower spine was more parallel than how my bubs is laying would that make the nub more parallel also , i know i know, im grasping at straws right ?
Attachment 1893

