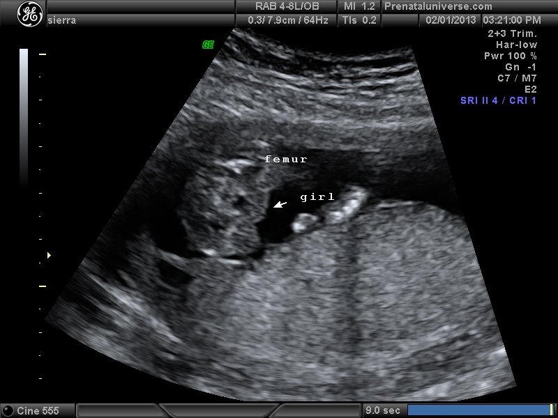
UPDATE!!!! Tech says girl. I was 16 w 1 day. Everyone agree? Nub shots were no help. Hoping this potty shot is more clear. In the video there were times it looked like there was something between legs but every still shot looks Girly I thinkTy everyone
I'm curious about the area behind the black spot. I believe he said black spot is babys bladder. the area the arrow is pointing to looks girly but the area behind the black spot looks different??? thanks all
![]()
Results 1 to 10 of 25
-
January 10th, 2013, 08:07 PM #1
Dreamer
- Join Date
- Jan 2013
- Posts
- 154
UPDATE!!!!!16 weeks new pics! girl!? please take a look!
Last edited by Sierra1410; February 3rd, 2013 at 12:51 PM.
-
January 10th, 2013, 08:16 PM #2
Dream Vet
- Join Date
- Sep 2012
- Posts
- 966
i think girl.
-
January 10th, 2013, 08:17 PM #3
-
January 10th, 2013, 08:19 PM #4
Dreamer
- Join Date
- Jan 2013
- Posts
- 154
Ty, to the girl guess...what r the chances of it rising at 13 weeks? Anyone know??
-
January 10th, 2013, 10:16 PM #5
-
January 10th, 2013, 10:40 PM #6
Big Dreamer
- Join Date
- Aug 2012
- Location
- Alabama Gulf Coast
- Posts
- 253
-
January 11th, 2013, 12:46 AM #7
Dream User
- Join Date
- Dec 2012
- Posts
- 70
Im actually thinking boy, but skull is girly looking which throwing me off
-
January 11th, 2013, 01:17 AM #8
Dreamer
- Join Date
- Jan 2013
- Posts
- 154
How accurate is the skull theory? My sons always looked round like a girl in his u/s
-
January 11th, 2013, 03:40 AM #9
I;m really not sure but for some reason I think boy. I really hope it turns out to be a girl!!
Loves of our lives:





-
January 11th, 2013, 03:55 AM #10
Dreamer
- Join Date
- Jan 2013
- Posts
- 154
Ty! Actually we kind of want a boy! Either is a blessing. We have 1 of each. And are planning to have 4 total! Either way is wonderful but wld like a brother for our firstborn
Similar Threads
-
12 week nub shot, very clear nub. guesses?
By girlygirrl in forum Ultrasound Gender PredictionReplies: 16Last Post: January 4th, 2013, 05:55 PM -
boy or girl?? clear potty shot
By babiixmagic in forum Ultrasound Gender PredictionReplies: 4Last Post: December 12th, 2012, 05:03 PM -
Clear nub (for a friend) Has her 20 week scan next week...any guesses welcome :-) xxx
By Shannarami in forum Ultrasound Gender PredictionReplies: 11Last Post: November 22nd, 2012, 07:44 PM -
Pls help..........Is it Boy or Girl (clear nub shot) ? Ultrasound (15w4d)
By mailtotashu in forum Ultrasound Gender PredictionReplies: 21Last Post: March 21st, 2012, 07:03 AM -
CLEAR 12 week nub shot - boy or girl? Will confirm in a week by CVS!
By mylovelyhorse in forum Ultrasound Gender PredictionReplies: 11Last Post: January 17th, 2012, 01:40 AM

Reply With Quote
2007
2009
Newest little dude due May 2013

DD2 ~ 11 months 

